Skip to main content
Case Report

Treating Chronic Venous Disease With a Modified Gun-Sight Technique  

Femoral Vein Reconstruction: A Complicated Case Example

March 2026
© 2026 HMP Global. All Rights Reserved.
Any views and opinions expressed are those of the author(s) and/or participants and do not necessarily reflect the views, policy, or position of Cath Lab Digest or HMP Global, their employees, and affiliates. 

Matthew A. Tiede, MD 
University of Michigan Health-West, Wyoming, Michigan

Disclosure: Dr. Tiede reports he is a member of the speaker bureau and/or provides consultant services to Becton, Dickinson, and Company; Penumbra Inc.; Boston Scientific Corp.; and WCG Clinical Inc. 

Dr. Matthew Tiede can be contacted at 
mtiede13@gmail.com.

Reprinted with permission from Vascular Disease Management 2025;22(12):E102-E109.

Abstract

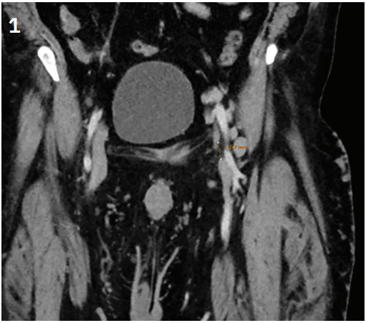
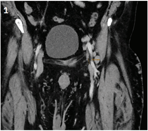
CLD Tiede Figure 1, reprint from VDMChronic venous disease is associated with significant patient morbidity, and not all cases are easily managed with traditional techniques. We report a case of common femoral vein occlusion in a patient with Klippel-Trénaunay syndrome. Successful reconstruction of the patient’s common femoral vein was made possible using the gun-sight technique, originally developed by Haskel et al for intrahepatic interventions. This case highlights the adaptability of endovascular methods and underscores the role of interventional radiology in providing novel therapeutic options for patients previously without hope.

Continue reading Dr. Tiede’s case on Vascular Disease Management

Dr. Tiede describes using a modified gun-sight recanalization approach to reconstruct an absent/occluded common femoral vein in a patient with severe chronic venous disease. A step-by-step discussion of the gun-sight technique is available in the Appendix.