Skip to main content

Podiatry Today

Featured Content

Shital Sharma, DPM
Podcasts
04/03/2026
Shital Sharma, DPM, MS, MBA
In this episode of the Podiatry Today Podcasts, host Dr. Jennifer Spector speaks with Shital Sharma, DPM, on the evolving role of podiatry in public health—and why the profession is more integral than ever to population health.
In this episode of the Podiatry Today Podcasts, host Dr. Jennifer Spector speaks with Shital Sharma, DPM, on the evolving role of podiatry in public health—and why the profession is more integral than ever to population health.
In this episode of the Podiatry...
04/03/2026
Podiatry Today
Lower Extremity Compression
04/01/2026
Loan Lam, DPM, FAWPHc, FAPWCA, CWSP, CHWS, CLWT
Compression therapy remains the gold standard for managing lower extremity edema, yet its application is often underutilized due to clinical uncertainty. Understanding the edema continuum—and how patients move along it—is essential to...
Compression therapy remains the gold standard for managing lower extremity edema, yet its application is often underutilized due to clinical uncertainty. Understanding the edema continuum—and how patients move along it—is essential to...
Compression therapy remains the...
04/01/2026
Podiatry Today
TAR Contraindications
04/01/2026
Alan Ng, DPM, FACFAS; Oliver Knauer, DPM, AACFAS
Understanding absolute and relative contraindications to total ankle replacement helps surgeons minimize complications such as loosening, wound failure, and early revision. This article provides a practical, evidence-informed framework to...
Understanding absolute and relative contraindications to total ankle replacement helps surgeons minimize complications such as loosening, wound failure, and early revision. This article provides a practical, evidence-informed framework to...
Understanding absolute and...
04/01/2026
Podiatry Today
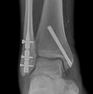
Ankle Fracture Fixation
04/01/2026
Alexa Bykowski, DPM; Brian Burgess, DPM, FACFAS
Ankle fracture management is increasingly guided by mortise stability and patient factors, not simply fracture pattern or the number of malleoli involved. Even subtle talar malalignment can dramatically alter tibiotalar contact mechanics and...
Ankle fracture management is increasingly guided by mortise stability and patient factors, not simply fracture pattern or the number of malleoli involved. Even subtle talar malalignment can dramatically alter tibiotalar contact mechanics and...
Ankle fracture management is...
04/01/2026
Podiatry Today
Perioperative GLP-1 Considerations
04/01/2026
Melissa Lockwood, DPM
For podiatric surgeons, the shift to using GLP-1 receptor agonists introduces new perioperative considerations. A thoughtful, multidisciplinary approach is essential to safely optimize outcomes in this growing patient population.
For podiatric surgeons, the shift to using GLP-1 receptor agonists introduces new perioperative considerations. A thoughtful, multidisciplinary approach is essential to safely optimize outcomes in this growing patient population.
For podiatric surgeons, the...
04/01/2026
Podiatry Today
TAR Edema Control
04/01/2026
Keith A. Crenshaw, DPM, MS, AACFAS; Jeffrey E. McAlister, DPM, FACFAS
Postoperative edema following total ankle arthroplasty is more than a temporary inconvenience—it is a critical determinant of wound healing and long-term outcomes. Emerging evidence suggests that both preoperative soft-tissue characteristics...
Postoperative edema following total ankle arthroplasty is more than a temporary inconvenience—it is a critical determinant of wound healing and long-term outcomes. Emerging evidence suggests that both preoperative soft-tissue characteristics...
Postoperative edema following...
04/01/2026
Podiatry Today
Heel Melanoma
04/01/2026
Kody Jacobson, DPM; Devin Towson, DPM; Jodi Walters, DPM, DABFAS; James Dancho, DPM, FACFAS; Valarie Samoy, DPM, DABPM
Heel melanoma is uncommon, but its location on a weight-bearing surface makes it easy to miss. These three plantar heel cases underscore how delayed recognition can lead to invasive disease and nodal spread, while timely biopsy and...
Heel melanoma is uncommon, but its location on a weight-bearing surface makes it easy to miss. These three plantar heel cases underscore how delayed recognition can lead to invasive disease and nodal spread, while timely biopsy and...
Heel melanoma is uncommon, but...
04/01/2026
Podiatry Today
Vibrio Necrotizing Fasciitis
04/01/2026
Karin Messiha, DPM; Ksenja Llazar, DPM; Shailee Vishnubhatt, DPM
Vibrio vulnificus necrotizing fasciitis is a rapidly progressive, often fatal soft tissue infection that demands immediate clinical recognition and decisive surgical management. This case underscores the limitations of relying on the LRINEC...
Vibrio vulnificus necrotizing fasciitis is a rapidly progressive, often fatal soft tissue infection that demands immediate clinical recognition and decisive surgical management. This case underscores the limitations of relying on the LRINEC...
Vibrio vulnificus necrotizing...
04/01/2026
Podiatry Today
Nutrition
04/01/2026
Lisa M. Schoene, DPM, ATC, FACFAS
As supplements flood the marketplace and patients arrive armed with questions about nutrition, detoxification, and longevity, podiatrists are uniquely positioned to guide evidence-informed conversations about lifestyle and targeted...
As supplements flood the marketplace and patients arrive armed with questions about nutrition, detoxification, and longevity, podiatrists are uniquely positioned to guide evidence-informed conversations about lifestyle and targeted...
As supplements flood the...
04/01/2026
Podiatry Today
Surgeon Wellness
04/01/2026
Jennifer J. Spector, DPM, FACFAS
This ACFAS session focused on managing high-stress moments in real time, navigating difficult patient dynamics without losing yourself, and cultivating courage and resilience when life fractures your identity.
This ACFAS session focused on managing high-stress moments in real time, navigating difficult patient dynamics without losing yourself, and cultivating courage and resilience when life fractures your identity.
This ACFAS session focused on...
04/01/2026
Podiatry Today
Books and a magnifying glass on a desk
Quiz
03/25/2026
Jennifer J. Spector, DPM, FACFAS
Key complications you need to know.
Key complications you need to know.
Key complications you need to...
03/25/2026
Podiatry Today

Podcasts

Shital Sharma, DPM
Podcasts
04/03/2026
Shital Sharma, DPM, MS, MBA
In this episode of the Podiatry Today Podcasts, host Dr. Jennifer Spector speaks with Shital Sharma, DPM, on the evolving role of podiatry in public health—and why the profession is more integral than ever to population health.
In this episode of the Podiatry Today Podcasts, host Dr. Jennifer Spector speaks with Shital Sharma, DPM, on the evolving role of podiatry in public health—and why the profession is more integral than ever to population health.
In this episode of the Podiatry...
04/03/2026
Podiatry Today
Bob Baravarian, DPM, FACFAS
Podcasts
03/20/2026
Bob Baravarian, DPM, FACFAS
Dr. Baravarian dives into key considerations for this type of fixation, including sharing pearls from his experience.
Dr. Baravarian dives into key considerations for this type of fixation, including sharing pearls from his experience.
Dr. Baravarian dives into key...
03/20/2026
Podiatry Today
Bob Baravarian, DPM, FACFAS
Podcasts
03/13/2026
Bob Baravarian, DPM, FACFAS
Dr. Baravarian shares his insights on the role of various biologics tools when treating ailments of the lower extremity.
Dr. Baravarian shares his insights on the role of various biologics tools when treating ailments of the lower extremity.
Dr. Baravarian shares his...
03/13/2026
Podiatry Today
Lowell Weil, Jr., DPM, MBA
Podcasts
02/27/2026
Lowell Scott Weil, Jr., DPM, MBA, FACFAS
In this Q&A from the 2026 ACFAS Annual Scientific Conference, Dr. Lowell Weil Jr. discusses where hammertoe procedures most often go off track.
In this Q&A from the 2026 ACFAS Annual Scientific Conference, Dr. Lowell Weil Jr. discusses where hammertoe procedures most often go off track.
In this Q&A from the 2026 ACFAS...
02/27/2026
Podiatry Today
Rachel Albright, DPM, FACFAS
Podcasts
02/26/2026
Rachel H. Albright, DPM, MPH
Dr. Albright reflects on her recent session at the ACFAS ASC on when forefoot cases do not have the desired outcomes.
Dr. Albright reflects on her recent session at the ACFAS ASC on when forefoot cases do not have the desired outcomes.
Dr. Albright reflects on her...
02/26/2026
Podiatry Today
Rachel Albright, DPM, FACFAS
Podcasts
02/25/2026
Rachel H. Albright, DPM, MPH
Learn more about patient expectations in HAV surgery from Dr. Albright's ACFAS ASC session.
Learn more about patient expectations in HAV surgery from Dr. Albright's ACFAS ASC session.
Learn more about patient...
02/25/2026
Podiatry Today
Brett Chatman, DPM
Podcasts
02/10/2026
Brett Chatman, DPM
In this episode, Dr. Chatman points out applications and results of DVA for limb preservation in otherwise no-option cases.
In this episode, Dr. Chatman points out applications and results of DVA for limb preservation in otherwise no-option cases.
In this episode, Dr. Chatman...
02/10/2026
Podiatry Today
Visser
Podcasts
01/21/2026
Harry John Visser, DPM, FACFAS
The podcast emphasizes that convergent talus is not a diagnosis, but a pathomechanical pattern seen in conditions such as talar neck malunion, Charcot midfoot collapse, perinavicular pathology, and neuromuscular disease.
The podcast emphasizes that convergent talus is not a diagnosis, but a pathomechanical pattern seen in conditions such as talar neck malunion, Charcot midfoot collapse, perinavicular pathology, and neuromuscular disease.
The podcast emphasizes that...
01/21/2026
Podiatry Today
Clinton Laird, DPM
Podcasts
12/19/2025
Clinton Laird, DPM
Dr. Laird discusses bike fit and other biomechanics in outdoor cycling, and how podiatrists can learn more to benefit their patients.
Dr. Laird discusses bike fit and other biomechanics in outdoor cycling, and how podiatrists can learn more to benefit their patients.
Dr. Laird discusses bike fit and...
12/19/2025
Podiatry Today
Jim McDannald, DPM
Podcasts
12/12/2025
Jim McDannald, DPM
How can AI have a positive impact in front office tasks, and how can practices implement it responsibly and successfully? Also, where should it not be used? Dr. McDannald shares his thoughts in this episode.
How can AI have a positive impact in front office tasks, and how can practices implement it responsibly and successfully? Also, where should it not be used? Dr. McDannald shares his thoughts in this episode.
How can AI have a positive...
12/12/2025
Podiatry Today

Clinician Commentary

David Edward Marcinko, MBA, MEd
Clinician Commentary
02/19/2026
David Edward Marcinko, MBA
Public relations is more than publicity—it’s a strategic tool that helps podiatry practices educate patients, strengthen community relationships, and build long-term credibility.
Public relations is more than publicity—it’s a strategic tool that helps podiatry practices educate patients, strengthen community relationships, and build long-term credibility.
Public relations is more than...
02/19/2026
Podiatry Today
lower extremities of a tennis player
Research Review
02/12/2026
Jennifer J. Spector, DPM, FACFAS
A 2025 narrative review in The Orthopaedic Journal of Sports Medicine examined tennis participation after joint arthroplasty, with notably limited and lower-quality data for total ankle arthroplasty.
A 2025 narrative review in The Orthopaedic Journal of Sports Medicine examined tennis participation after joint arthroplasty, with notably limited and lower-quality data for total ankle arthroplasty.
A 2025 narrative review in The...
02/12/2026
Podiatry Today
David Edward Marcinko, MBA, MEd
Clinician Commentary
01/20/2026
Dr. David Edward Marcinko, MBA, MEd
In an increasingly competitive healthcare environment, podiatric practices must balance clinical excellence with strategic marketing, ethical advertising, and patient-centered sales promotion.
In an increasingly competitive healthcare environment, podiatric practices must balance clinical excellence with strategic marketing, ethical advertising, and patient-centered sales promotion.
In an increasingly competitive...
01/20/2026
Podiatry Today
Use of phenol to cauterize the root of an ingrown nail at the medial border
Blog
12/23/2025
Bethany Robinson, BS
This author explores what the literature tells us about the occupational safety of phenol use in podiatric practice.
This author explores what the literature tells us about the occupational safety of phenol use in podiatric practice.
This author explores what the...
12/23/2025
Podiatry Today
a doctor using a laptop
Clinician Commentary
11/11/2025
Jennifer J. Spector, DPM, FACFAS
The Wasteful and Inappropriate Service Reduction (WISeR) model will launch as planned in the six impacted states on January 1, 2026, even in the context of the current government shutdown.
The Wasteful and Inappropriate Service Reduction (WISeR) model will launch as planned in the six impacted states on January 1, 2026, even in the context of the current government shutdown.
The Wasteful and Inappropriate...
11/11/2025
Podiatry Today
Jeffrey D. Lehrman, DPM, FASPS, MAPWCA, CPC, CPMA
Clinician Commentary
11/06/2025
Jeffrey D. Lehrman DPM, CPC, CPMA
This author offers insights on the CMS Final Rule on skin substitute payment, as well as next steps for providers.
This author offers insights on the CMS Final Rule on skin substitute payment, as well as next steps for providers.
This author offers insights on...
11/06/2025
Podiatry Today
Futuristic photo suggesting technology and future thinking
Clinician Commentary
11/01/2025
Jennifer J. Spector, DPM, FACFAS
CMS has finalized the physician fee schedule payment model for skin substitutes in 2026. Learn more about the facts from this update.
CMS has finalized the physician fee schedule payment model for skin substitutes in 2026. Learn more about the facts from this update.
CMS has finalized the physician...
11/01/2025
Podiatry Today
a
Clinician Commentary
10/20/2025
Jean V. Archer, DPM, FACPM, CWS, FACCWS, FASPS, FAPWHc; Waleed Al-Hardan, MD
This report presents the unique perspective of a podiatric physician integrated into the surgical management of an unstable ankle fracture, performed by an orthopedic trauma surgeon. The experience highlights both the technical nuances of...
This report presents the unique perspective of a podiatric physician integrated into the surgical management of an unstable ankle fracture, performed by an orthopedic trauma surgeon. The experience highlights both the technical nuances of...
This report presents the unique...
10/20/2025
Podiatry Today
Marcinko
Clinician Commentary
10/03/2025
Dr. David Edward Marcinko, MBA, MEd
There is no way to eliminate all the risks associated with starting a podiatry practice in the current healthcare ecosystem. However, entrepreneurial-focused doctors can improve their chance of success with good planning and preparation.
There is no way to eliminate all the risks associated with starting a podiatry practice in the current healthcare ecosystem. However, entrepreneurial-focused doctors can improve their chance of success with good planning and preparation.
There is no way to eliminate all...
10/03/2025
Podiatry Today
Hinkes
Blog
09/29/2025
Mark Hinkes, DPM, FACFAS, FAPWCA, DABFAS
Should comprehensive diabetic foot exams have their own code?
Should comprehensive diabetic foot exams have their own code?
Should comprehensive diabetic...
09/29/2025
Podiatry Today

ACFAS

TheraMicro
Sponsored Content
02/26/2026
Jennifer J. Spector, DPM, FACFAS
At the ACFAS Annual Scientific Conference, TheraMicro presented newly and soon-to-be released technologies spanning two complementary domains in foot and ankle surgery: advanced mechanical reinforcement and biologic signaling platforms.
At the ACFAS Annual Scientific Conference, TheraMicro presented newly and soon-to-be released technologies spanning two complementary domains in foot and ankle surgery: advanced mechanical reinforcement and biologic signaling platforms.
At the ACFAS Annual Scientific...
02/26/2026
Podiatry Today
Bradley Abicht, DPM
Conference Coverage
02/26/2026
Bradley P. Abicht, DPM, FACFAS
In this video, Dr. Abicht dives into key components of radiographic assessments.
In this video, Dr. Abicht dives into key components of radiographic assessments.
In this video, Dr. Abicht dives...
02/26/2026
Podiatry Today
Don Buddecke, DPM
Conference Coverage
02/24/2026
Don Buddecke, DPM
Dr. Buddecke shares high points from his recent session at the ACFAS ASC.
Dr. Buddecke shares high points from his recent session at the ACFAS ASC.
Dr. Buddecke shares high points...
02/24/2026
Podiatry Today
Alan Catanzariti, DPM, FACFAS
Conference Coverage
02/24/2026
Alan R. Catanzariti, DPM, FACFAS
In this expert interview about his ACFAS ASC session, Dr. Catanzariti explores the variants surgeons most commonly overlook and the clinical mindset required to avoid recurrence, instability, and iatrogenic injury.
In this expert interview about his ACFAS ASC session, Dr. Catanzariti explores the variants surgeons most commonly overlook and the clinical mindset required to avoid recurrence, instability, and iatrogenic injury.
In this expert interview about...
02/24/2026
Podiatry Today
Open wound on the posterior aspect of the ankle
Sponsored Content
02/20/2026
Jonathan Richards, DPM
Learn more and hear about additional case studies related to tendon repair and the versatile use of intact fish-skin for tendon protection and wounds in the operating room at the American College of Foot and Ankle Surgeons.
Learn more and hear about additional case studies related to tendon repair and the versatile use of intact fish-skin for tendon protection and wounds in the operating room at the American College of Foot and Ankle Surgeons.
Learn more and hear about...
02/20/2026
Podiatry Today
Surgeons in an operating room focused on a patient care
Videos
01/07/2026
Patrick McEneaney, DPM, FACFAS, AAPWCA; Rimvydas A. Statkus, DPM, FACFAS
These researchers share highlights from their poster presentations at SAWC.
These researchers share highlights from their poster presentations at SAWC.
These researchers share...
01/07/2026
Podiatry Today
Windy Cole, DPM, CWSP, FFPM RCPS (Glasg)
Videos
12/16/2025
Windy Cole, DPM, CWSP, FFPM RCPS (Glasg)
This SAWC Fall speaker discusses a new consensus document on antimicrobial stewardship recently published in Wounds and what DPMs can learn.
This SAWC Fall speaker discusses a new consensus document on antimicrobial stewardship recently published in Wounds and what DPMs can learn.
This SAWC Fall speaker discusses...
12/16/2025
Podiatry Today
c
Conference Coverage
11/13/2025
Brian McCurdy
DFUs remain among the most complex and costly complications of diabetes, representing not just localized wounds but indicators of systemic disease. This SAWC Fall speaker discussed how innovative technologies can aid patients.
DFUs remain among the most complex and costly complications of diabetes, representing not just localized wounds but indicators of systemic disease. This SAWC Fall speaker discussed how innovative technologies can aid patients.
DFUs remain among the most...
11/13/2025
Podiatry Today
4
Conference Coverage
09/17/2025
Kelsey Millonig, DPM, MPH, AACFAS; Rachel Gerber, DPM; Christopher A. Juels, AACFAS, DPM
At the 2025 APMA National, a lively roundtable discussion explored current perspectives and challenges in minimally invasive surgery (MIS) versus traditional open procedures. Their session delved into key surgical applications including...
At the 2025 APMA National, a lively roundtable discussion explored current perspectives and challenges in minimally invasive surgery (MIS) versus traditional open procedures. Their session delved into key surgical applications including...
At the 2025 APMA National, a...
09/17/2025
Podiatry Today
Speakers
Conference Coverage
08/26/2025
Elizabeth Piselli, DPM; Melissa Lockwood, DPM; Andrew Schneider, DPM; Alicia Canzanese, DPM, ATC, FAAPSM, CAQ-SM, DABPM
Affiliated organizations at the APMA National came together to discuss key components of patient care.
Affiliated organizations at the APMA National came together to discuss key components of patient care.
Affiliated organizations at the...
08/26/2025
Podiatry Today